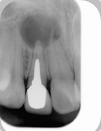
歯根嚢胞とは、歯根の先端部位に生じる袋状の病変のことをいいます。顎骨が吸収して嚢胞が大きくなるため、レントゲンでは黒く映ります(図1)。
原因は、神経(歯髄)を取った歯の内部への細菌感染によって引き起こされます。
細菌が歯根の先端から顎骨内に押し出され炎症を起こすと、膿(うみ)ができますが、この状態が慢性的に続くと病変の周囲に薄い上皮の膜が形成され風船のような構造を作ります。嚢胞の中の内容物も、白い膿から黄色や褐色の液状の物質に変化していきます。
症状はないことが多く、レントゲン撮影でたまたま見つかることのほうが多いです。また歯が動揺してきたり、咬むと痛みを感じたり、歯肉にイボができたりすることもあります。
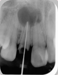
治療方法は、まず根管治療で感染した歯の内部を清掃し、無菌的な状態にします(図2)。
根管治療のみで治癒することもありますが、上皮が形成された歯根嚢胞は根管治療だけでは治らないことも多く、この場合は歯根端切除術といって歯根の先端付近の歯肉を切開して開き、そこから嚢胞の摘出と感染した根尖部の切除をする手術が必要です。
歯根嚢胞が大きい場合、いつも歯が残せるとは限りません。歯の動揺が著しい場合は抜歯せざるを得ない場合もあります。
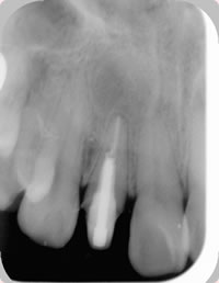
術後数カ月~1年程度経過をみてレントゲンを撮影し、骨が再生されていれば治癒したと判定できます(図3)。

図1 前歯にできた歯根嚢胞. 直径1センチほどの大きさになっている
図2 根管治療で根管内の清掃と無菌化を行う.その後、歯根端切除の手術をする
図3 1年後のレントゲン写真.骨が再生され治癒している
