お知らせ・コラム

過剰歯って何?

過剰歯とは通常生えてくる歯以外の余分な歯のことをいいます。永久歯では親知らずを含めて32本ありますが、それ以外の歯のことになります。形状は歯冠が矮小なものが多く、乳歯よりも永久歯に多く、また女性よりも男性に多いと言われています。

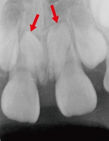
好発部位は上顎前歯の正中部で(図1)骨の中に埋伏している場合が多く、歯が上下逆転(逆性)していることも少なくありません。

過剰歯はそれが発生した場所によっては正常な歯の萌出や歯並びに大きく影響する場合があります。図1のように過剰歯が上顎前歯の正中部に埋伏している場合(上顎正中埋伏過剰歯)は、過剰歯が前歯の歯根に当たり正常な歯の配列の邪魔をして歯間離解を引き起こすことがあります(図2)。この場合はたとえ過剰歯が見えない状態でも学童期に抜歯をしたほうがよいでしょう。永久歯の歯並びに影響しない埋伏過剰歯は抜歯せずに経過観察でもよいと思います。

上顎の正中埋伏過剰歯を抜歯するにあたっては、この付近に動脈や神経(鼻口蓋動脈・神経)が走行しており、また中切歯の歯根が近接しているので、これらを傷付けてしまうと多量の出血やしびれ、あるいは前歯の神経(歯髄)が壊死してしまうことがあるので、事前にCTを撮影するなどして、位置関係を十分把握した上で、慎重に抜歯しなくてはなりません。

上顎正中埋伏過剰歯のレントゲン写真
図1 上顎正中埋伏過剰歯のレントゲン写真(矢印)
骨内に2歯、上下が逆転(逆性)して埋伏している。過剰歯の好発部位でもある

上顎前歯の歯間離解
図2 上顎前歯の歯間離解
過剰歯の影響で歯間が離解している場合は、過剰歯の抜歯が必要となる

診療項目

山手通り歯科
住所
〒153-0051 東京都目黒区上目黒1-16-8 Yファームビル3F
アクセス
東急東横線、東京メトロ日比谷線の『中目黒駅正面口』改札を出て山手通りを左に進み徒歩2分

03-5768-5517
(完全予約制 / 当日診療は事前にお電話ください)

日・祝
09:30~13:00 × ×
14:30~20:00 × ×

※受付は診療終了時間の30分前まで

医院紹介・アクセス