
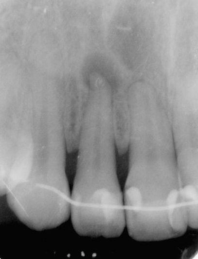
図1a 上顎側切歯の根尖病変. 根尖部にレントゲン透過像(黒い影)が見られる

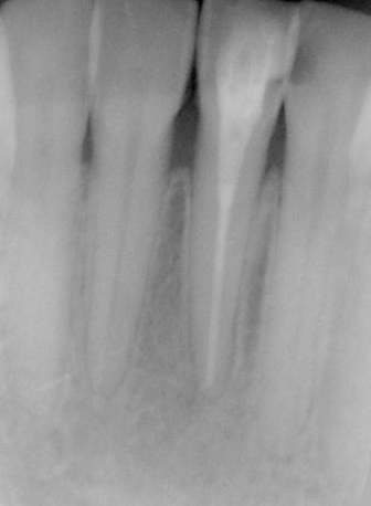
図2a 下顎中切歯の根尖病変. かなり大きいレントゲン透過像

図1b 根管治療後1年経過しても病変の縮小がなく、 歯根端切除と嚢胞摘出を行った

図2b 根管治療のみで 1年後に病変が消失し治癒した

図1c 歯根端切除および 嚢胞摘出後のレントゲン写真

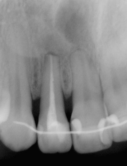
図1d 1年後病変が 消失し治癒した

図1a 上顎側切歯の根尖病変. 根尖部にレントゲン透過像(黒い影)が見られる

図2a 下顎中切歯の根尖病変. かなり大きいレントゲン透過像

図1b 根管治療後1年経過しても病変の縮小がなく、 歯根端切除と嚢胞摘出を行った

図2b 根管治療のみで 1年後に病変が消失し治癒した

図1c 歯根端切除および 嚢胞摘出後のレントゲン写真

図1d 1年後病変が 消失し治癒した
03-5768-5517
(完全予約制 / 当日診療は事前にお電話ください)
| 月 | 火 | 水 | 木 | 金 | 土 | 日・祝 | |
|---|---|---|---|---|---|---|---|
| 09:30~13:00 | ○ | ○ | × | ○ | ○ | ○ | × |
| 14:30~20:00 | ○ | ○ | × | ○ | ○ | ○ | × |
※受付は診療終了時間の30分前まで